Key Points
-
An estimated 47% of thrombi in valvular atrial fibrillation (AF) and 91% of thrombi in nonvalvular AF are localized in the left atrial appendage (LAA)
-
LAA flow stasis (or spontaneous echocardiographic contrast; SEC) is a pattern of blood flow (echogenicity) attributed to ultrasonic backscatter from blood cell aggregates that form under low shear conditions
-
SEC is formed through protein-mediated (particularly fibrinogen) red cell aggregation promoting red cell rouleaux formation, and is the cardiac factor most-strongly associated with LAA thrombus formation
-
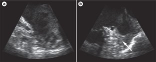
Transoesophageal echocardiography is the gold standard for the evaluation of LAA stasis and thrombosis, and promising results have been reported for intracardiac echocardiography and transthoracic echocardiography with contrast
-
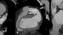
Cardiac CT is an accurate, noninvasive imaging modality for the detection of LAA thrombi, particularly when delayed imaging acquisition protocols are used
-
Prospective studies to validate the use of cardiac MRI for LAA assessment are needed, because this technique avoids the use of ionizing radiation and iodinated contrast media
Abstract
Atrial fibrillation (AF) is the most-common arrhythmia in the elderly population (age >65 years). The left atrial appendage (LAA) is the main location of thrombus formation, predominantly in patients with nonvalvular AF. This Review is focused on the pathophysiology, assessment, and clinical implications of stasis (or spontaneous echocardiographic contrast; SEC) and thrombus formation in the LAA. The gold-standard modality for assessment of SEC and thrombus in the LAA is echocardiography, particularly transoesophageal echocardiography (TEE). Cardiac CT (CCT) is an accurate, noninvasive alternative to TEE for the detection of LAA thrombi, distinctly when delayed-imaging acquisition protocols are used. Prospective studies to validate the use of cardiac MRI (CMR) for this purpose are needed, and will avoid the need for radiation and iodinated contrast. CCT or CMR could potentially be implemented to rule out LAA thrombus, avoiding unnecessary preprocedural TEE. Cardiac imaging is also of primary importance in the setting of LAA closure devices and electrophysiological studies. New trials are needed to compare the various imaging modalities, with surgicopathological findings as a reference standard.
This is a preview of subscription content, access via your institution
Access options
Subscribe to this journal
Receive 12 print issues and online access
$189.00 per year
only $15.75 per issue
Buy this article
- Purchase on SpringerLink
- Instant access to the full article PDF.
USD 39.95
Prices may be subject to local taxes which are calculated during checkout








Similar content being viewed by others
References
Lloyd-Jones, D. M. et al. Lifetime risk for development of atrial fibrillation: the Framingham Heart Study. Circulation 110, 1042–1046 (2004).
Heeringa, J. et al. Prevalence, incidence and lifetime risk of atrial fibrillation: the Rotterdam study. Eur. Heart J. 27, 949–953 (2006).
Go, A. S. et al. Prevalence of diagnosed atrial fibrillation in adults: national implications for rhythm management and stroke prevention: the AnTicoagulation and Risk Factors in Atrial Fibrillation (ATRIA) Study. JAMA 285, 2370–2375 (2001).
Miyasaka, Y. et al. Secular trends in incidence of atrial fibrillation in Olmsted County, Minnesota, 1980 to 2000, and implications on the projections for future prevalence. Circulation 114, 119–125 (2006).
Wolf, P. A., Abbott, R. D. & Kannel, W. B. Atrial fibrillation as an independent risk factor for stroke: the Framingham Study. Stroke 22, 983–988 (1991).
Healey, J. S. et al. Subclinical atrial fibrillation and the risk of stroke. N. Engl. J. Med. 366, 120–129 (2012).
Madden, J. L. Resection of the left auricular appendix; a prophylaxis for recurrent arterial emboli. JAMA 140, 769–772 (1949).
Blackshear, J. L. & Odell, J. A. Appendage obliteration to reduce stroke in cardiac surgical patients with atrial fibrillation. Ann. Thorac. Surg. 61, 755–759 (1996).
Ernst, G. et al. Morphology of the left atrial appendage. Anat. Rec. 242, 553–561 (1995).
Heist, E. K. et al. Analysis of the left atrial appendage by magnetic resonance angiography in patients with atrial fibrillation. Heart Rhythm 3, 1313–1318 (2006).
Di Biase, L. et al. Does the left atrial appendage morphology correlate with the risk of stroke in patients with atrial fibrillation? Results from a multicentre study. J. Am. Coll. Cardiol. 60, 531–538 (2012).
Veinot, J. P. et al. Anatomy of the normal left atrial appendage: a quantitative study of age-related changes in 500 autopsy hearts: implications for echocardiographic examination. Circulation 96, 112–115 (1997).
Grimm, R. A. et al. Impact of electrical cardioversion for atrial fibrillation on left atrial appendage function and spontaneous echo contrast: characterization by simultaneous transesophageal echocardiography. J. Am. Coll. Cardiol. 22, 1359–1366 (1993).
Pollick, C. & Taylor, D. Assessment of left atrial appendage function by transesophageal echocardiography. Implications for the development of thrombus. Circulation 84, 223–231 (1991).
Hoit, B. D., Shao, Y. & Gabel, M. Influence of acutely altered loading conditions on left atrial appendage flow velocities. J. Am. Coll. Cardiol. 24, 1117–1123 (1994).
Rodeheffer, R. J. et al. Molecular forms of atrial natriuretic factor in normal and failing human myocardium. Circulation 88, 364–371 (1993).
Inoue, S., Murakami, Y., Sano, K., Katoh, H. & Shimada, T. Atrium as a source of brain natriuretic polypeptide in patients with atrial fibrillation. J. Card. Fail. 6, 92–96 (2000).
Feigenbaum, H. Echocardiography 2nd edn (Lea and Febiger, 1976).
Fatkin, D., Kelly, R. P. & Feneley, M. P. Relations between left atrial appendage blood flow velocity, spontaneous echocardiographic contrast and thromboembolic risk in vivo. J. Am. Coll. Cardiol. 23, 961–969 (1994).
Sadanandan, S. & Sherrid, M. V. Clinical and echocardiographic characteristics of left atrial spontaneous echo contrast in sinus rhythm. J. Am. Coll. Cardiol. 35, 1932–1938 (2000).
Tsai, L. M., Chen, J. H., Lin, L. J. & Teng, J. K. Natural history of left atrial spontaneous echo contrast in nonrheumatic atrial fibrillation. Am. J. Cardiol. 80, 897–900 (1997).
Black, I. W., Hopkins, A. P., Lee, L. C. & Walsh, W. F. Left atrial spontaneous echo contrast: a clinical and echocardiographic analysis. J. Am. Coll. Cardiol. 18, 398–404 (1991).
Leung, D. Y., Black, I. W., Cranney, G. B., Hopkins, A. P. & Walsh, W. F. Prognostic implications of left atrial spontaneous echo contrast in nonvalvular atrial fibrillation. J. Am. Coll. Cardiol. 24, 755–762 (1994).
Goldman, M. E. et al. Pathophysiologic correlates of thromboembolism in nonvalvular atrial fibrillation: I. Reduced flow velocity in the left atrial appendage (the Stroke Prevention in Atrial Fibrillation [SPAF-III] study). J. Am. Soc. Echocardiogr. 12, 1080–1087 (1999).
Black, I. W. et al. Haematologic correlates of left atrial spontaneous echo contrast and thromboembolism in nonvalvular atrial fibrillation. J. Am. Coll. Cardiol. 21, 451–457 (1993).
Conway, D. S., Buggins, P., Hughes, E. & Lip, G. Y. Relation of interleukin-6, C-reactive protein, and the prothrombotic state to transesophageal echocardiographic findings in atrial fibrillation. Am. J. Cardiol. 93, 1368–1373 (2004).
Fukuchi, M. et al. Increased von Willebrand factor in the endocardium as a local predisposing factor for thrombogenesis in overloaded human atrial appendage. J. Am. Coll. Cardiol. 37, 1436–1442 (2001).
Fatkin, D., Loupas, T., Low, J. & Feneley, M. Inhibition of red cell aggregation prevents spontaneous echocardiographic contrast formation in human blood. Circulation 96, 889–896 (1997).
Fuster, V. et al. 2011 ACCF/AHA/HRS focused updates incorporated into the ACC/AHA/ESC 2006 Guidelines for the management of patients with atrial fibrillation: a report of the American College of Cardiology Foundation/American Heart Association Task Force on Practice Guidelines developed in partnership with the European Society of Cardiology and in collaboration with the European Heart Rhythm Association and the Heart Rhythm Society. J. Am. Coll. Cardiol. 57, e101–e198 (2011).
Manning, W. J., Silverman, D. I., Gordon, S. P., Krumholz, H. M. & Douglas, P. S. Cardioversion from atrial fibrillation without prolonged anticoagulation with use of transesophageal echocardiography to exclude the presence of atrial thrombi. N. Engl. J. Med. 328, 750–755 (1993).
Aschenberg, W. et al. Transesophageal two-dimensional echocardiography for the detection of left atrial appendage thrombus. J. Am. Coll. Cardiol. 7, 163–166 (1986).
Zabalgoitia, M. et al. Transesophageal echocardiographic correlates of clinical risk of thromboembolism in nonvalvular atrial fibrillation. J. Am. Coll. Cardiol. 31, 1622–1626 (1998).
Sallach, J. A. et al. Comprehensive left atrial appendage optimization of thrombus using surface echocardiography: the CLOTS multicentre pilot trial. J. Am. Soc. Echocardiogr. 22, 1165–1172 (2009).
Hwang, J. J. et al. Diagnostic accuracy of transesophageal echocardiography for detecting left atrial thrombi in patients with rheumatic heart disease having undergone mitral valve operations. Am. J. Cardiol. 72, 677–681 (1993).
Manning, W. J. et al. Accuracy of transesophageal echocardiography for identifying left atrial thrombi. A prospective, intraoperative study. Ann. Intern. Med. 123, 817–822 (1995).
von der Recke, G., Schmidt, H., Illien, S., Lüderitz, B. & Omran, H. Use of transesophageal contrast echocardiography for excluding left atrial appendage thrombi in patients with atrial fibrillation before cardioversion. J. Am. Soc. Echocardiogr. 15, 1256–1261 (2002).
Bernier, M. et al. CUTE-CV: a prospective study of enhanced left atrial appendage visualization with microbubble contrast agent use during transesophageal echocardiography guided cardioversion. Echocardiography 30, 1091–1097 (2013).
Daniel, W. G. et al. Safety of transesophageal echocardiography: a multicentre survey of 10,419 examinations. Circulation 83, 817–821 (1991).
Hilberath, J. N. et al. Safety of transesophageal echocardiography. J. Am. Soc. Echocardiogr. 23, 1115–1127 (2010).
Karakus, G. et al. Comparative assessment of left atrial appendage by transesophageal and combined two- and three-dimensional transthoracic echocardiography. Echocardiography 25, 918–924 (2008).
Agmon, Y., Khandheria, B. K., Gentile, F. & Seward, J. B. Echocardiographic assessment of the left atrial appendage. J. Am. Coll. Cardiol. 34, 1867–1877 (1999).
Ono, M. et al. Improved visualization of the left atrial appendage by transthoracic 2-dimensional tissue harmonic compared with fundamental echocardiographic imaging. J. Am. Soc. Echocardiogr. 11, 1044–1049 (1998).
Omran, H. et al. Imaging of thrombi and assessment of left atrial appendage function: a prospective study comparing transthoracic and transoesophageal echocardiography. Heart 81, 192–198 (1999).
Ren, J. F., Marchlinski, F. E., Callans, D. J. & Herrmann, H. C. Clinical use of AcuNav diagnostic ultrasound catheter imaging during left heart radiofrequency ablation and transcatheter closure procedures. J. Am. Soc. Echocardiogr. 15, 1301–1308 (2002).
Ren, J. F. et al. Intracardiac echocardiographic diagnosis of thrombus formation in the left atrial appendage: a complementary role to transesophageal echocardiography. Echocardiography 30, 72–80 (2012).
Ren, J. F., Marchlinski, F. E. & Callans, D. J. Left atrial thrombus associated with ablation for atrial fibrillation: identification with intracardiac echocardiography. J. Am. Coll. Cardiol. 43, 1861–1867 (2004).
Saksena, S. et al. A prospective comparison of cardiac imaging using intracardiac echocardiography with transesophageal echocardiography in patients with atrial fibrillation: the intracardiac echocardiography guided cardioversion helps interventional procedures study. Circ. Arrhythm. Electrophysiol. 3, 571–577 (2010).
Beppu, S. et al. Smoke-like echo in the left atrial cavity in mitral valve disease: its features and significance. J. Am. Coll. Cardiol. 6, 744–749 (1985).
Klein, A. L. et al. Integrated backscatter for quantification of left atrial spontaneous echo contrast. J. Am. Coll. Cardiol. 28, 222–231 (1996).
Donal, E. et al. Contrast-enhanced tissue Doppler imaging of the left atrial appendage is a new quantitative measure of spontaneous echocardiographic contrast in atrial fibrillation. Eur. J. Echocardiogr. 9, 5–11 (2008).
Jue, J. et al. Pulsed Doppler characterization of left atrial appendage flow. J. Am. Soc. Echocardiogr. 6, 237–244 (1993).
Kamalesh, M., Copeland, T. B. & Sawada, S. Severely reduced left atrial appendage function: a cause of embolic stroke in patients in sinus rhythm? J. Am. Soc. Echocardiogr. 11, 902–904 (1998).
Fatkin, D., Kuchar, D. L., Thorburn, C. W. & Feneley, M. P. Transesophageal echocardiography before and during direct current cardioversion of atrial fibrillation: evidence for “atrial stunning” as a mechanism of thromboembolic complications. J. Am. Coll. Cardiol. 23, 307–316 (1994).
Manning, W. J. et al. Impaired left atrial mechanical function after cardioversion: relation to the duration of atrial fibrillation. J. Am. Coll. Cardiol. 23, 1535–1540 (1994).
Antonielli, E. et al. Clinical value of left atrial appendage flow for prediction of long-term sinus rhythm maintenance in patients with nonvalvular atrial fibrillation. J. Am. Coll. Cardiol. 39, 1443–1449 (2002).
Achenbach, S. et al. Electron beam computed tomography for the detection of left atrial thrombi in patients with atrial fibrillation. Heart 90, 1477–1478 (2004).
Kim, S. C. et al. Differentiation between spontaneous echocardiographic contrast and left atrial appendage thrombus in patients with suspected embolic stroke using two-phase multidetector computed tomography. Am. J. Cardiol. 106, 1174–1181 (2010).
Hur, J. et al. Dual-enhancement cardiac computed tomography for assessing left atrial thrombus and pulmonary veins before radiofrequency catheter ablation for atrial fibrillation. Am. J. Cardiol. 112, 238–244 (2013).
Martinez, M. W. et al. Utility of nongated multidetector computed tomography for detection of left atrial thrombus in patients undergoing catheter ablation of atrial fibrillation. JACC Cardiovasc. Imaging 2, 69–76 (2009).
Hur, J. et al. Thrombus in the left atrial appendage in stroke patients: detection with cardiac CT angiography—a preliminary report. Radiology 249, 81–87 (2008).
Hur, J. et al. Left atrial appendage thrombi in stroke patients: detection with two-phase cardiac CT angiography versus transesophageal echocardiography. Radiology 251, 683–690 (2009).
Hur, J. et al. Cardioembolic stroke: dual-energy cardiac CT for differentiation of left atrial appendage thrombus and circulatory stasis. Radiology 263, 688–695 (2012).
Hur, J. et al. Dual-enhanced cardiac CT for detection of left atrial appendage thrombus in patients with stroke: a prospective comparison study with transesophageal echocardiography. Stroke 42, 2471–2477 (2011).
Romero, J. et al. Detection of left atrial appendage thrombus by cardiac computed tomography in patients with atrial fibrillation: a meta-analysis. Circ. Cardiovasc. Imaging 6, 185–194 (2013).
Barrett, B. J., & Parfrey, P. S. Clinical practice. Preventing nephropathy induced by contrast medium. N. Engl. J. Med. 354, 379–386 (2006).
Zahuranec, D. B. et al. Pilot study of cardiac magnetic resonance imaging for detection of embolic source after ischemic stroke. J. Stroke Cerebrovasc. Dis. 21, 794–800 (2012).
Mohrs, O. K. et al. Thrombus detection in the left atrial appendage using contrast-enhanced MRI: a pilot study. AJR Am. J. Roentgenol. 186, 198–205 (2006).
Ohyama, H. et al. Comparison of magnetic resonance imaging and transesophageal echocardiography in detection of thrombus in the left atrial appendage. Stroke 34, 2436–2439 (2003).
Weinsaft, J. W. et al. Contrast-enhanced anatomic imaging as compared to contrast-enhanced tissue characterization for detection of left ventricular thrombus. JACC Cardiovasc. Imaging 2, 969–979 (2009).
Rathi, V. K. et al. Contrast-enhanced CMR is equally effective as TEE in the evaluation of left atrial appendage thrombus in patients with atrial fibrillation undergoing pulmonary vein isolation procedure. Heart Rhythm 10, 1021–1027 (2013).
Baczek, V. L., Chen, W. T., Kluger, J. & Coleman, C. I. Predictors of warfarin use in atrial fibrillation in the United States: a systematic review and meta-analysis. BMC Fam. Pract. 13, 5 (2012).
Sudlow, M., Thomson, R., Thwaites, B., Rodgers, H. & Kenny, R. A. Prevalence of atrial fibrillation and eligibility for anticoagulants in the community. Lancet 352, 1167–1171 (1998).
Kanderian, A. S., Gillinov, A. M., Pettersson, G. B., Blackstone, E. & Klein, A. L. Success of surgical left atrial appendage closure: assessment by transesophageal echocardiography. J. Am. Coll. Cardiol. 52, 924–929 (2008).
Blackshear, J. L. et al. Thoracoscopic extracardiac obliteration of the left atrial appendage for stroke risk reduction in atrial fibrillation. J. Am. Coll. Cardiol. 42, 1249–1252 (2003).
Shah, S. J. et al. Real-time three-dimensional transesophageal echocardiography of the left atrial appendage: initial experience in the clinical setting. J. Am. Soc. Echocardiogr. 21, 1362–1368 (2008).
Wang, Y. et al. Left atrial appendage studied by computed tomography to help planning for appendage closure device placement. J. Cardiovasc. Electrophysiol. 21, 973–982 (2010).
Di Biase, L., Burkhardt, J. D., Gibson, D. N. & Natale, A. 2D and 3D TEE evaluation of an early reopening of the LARIAT epicardial left atrial appendage closure device. Heart Rhythm http://dx.doi.org/10.1016/j.hrthm.2013.08.023.
Mosley, W. J. 2nd, Smith, M. R. & Price, M. J. Percutaneous management of late leak after lariat transcatheter ligation of the left atrial appendage in patients with atrial fibrillation at high risk for stroke. Catheter. Cardiovasc. Interv. 83, 664–669 (2014).
Pontana, F. et al. Reduced-dose low-voltage chest CT angiography with Sinogram-affirmed iterative reconstruction versus standard-dose filtered back projection. Radiology 267, 609–618 (2013).
Komatsu, S. et al. Coronary computed tomography angiography using ultra-low-dose contrast media: radiation dose and image quality. Int. J. Cardiovasc. Imaging 29, 1335–1340 (2013).
Author information
Authors and Affiliations
Contributions
All the authors researched data for the article and contributed substantially to the discussion of content. The manuscript was written by J.R., J.J.C., and C.C.T. All the authors reviewed/edited the article before submission.
Corresponding author
Ethics declarations
Competing interests
The authors declare no competing financial interests.
Rights and permissions
About this article
Cite this article
Romero, J., Cao, J., Garcia, M. et al. Cardiac imaging for assessment of left atrial appendage stasis and thrombosis. Nat Rev Cardiol 11, 470–480 (2014). https://doi.org/10.1038/nrcardio.2014.77
Published:
Issue date:
DOI: https://doi.org/10.1038/nrcardio.2014.77
This article is cited by
-
Associations between neutrophil-lymphocyte ratio and monocyte to high-density lipoprotein ratio with left atrial spontaneous echo contrast or thrombus in patients with non-valvular atrial fibrillation
BMC Cardiovascular Disorders (2023)
-
Near-infrared-II photoacoustic imaging and photo-triggered synergistic treatment of thrombosis via fibrin-specific homopolymer nanoparticles
Nature Communications (2023)
-
Mehrwert der Dual-Energy-Computertomographie zur Detektion von Thromben des linken Vorhofohrs
Der Radiologe (2020)
-
Accuracy of cardiac CT in evaluating severity of left atrial appendage spontaneous echo contrast: comparison with transesophageal echocardiography
The International Journal of Cardiovascular Imaging (2018)
-
Hemoglobin A1c and risk of left atrial thrombus and spontaneous echo contrast in non-valvular atrial fibrillation patients
European Journal of Medical Research (2017)


