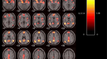
Abstract
Moral sense is defined as a feeling of the rightness or wrongness of an action that knowingly causes harm to people other than the agent. The large amount of data collected over the past decade allows drawing some definite conclusions about the neurobiological foundations of moral reasoning as well as a systematic investigation of methodological variables during fMRI studies. Here, we verified the existence of converging and consistent evidence in the current literature by means of a meta-analysis of fMRI studies of moral reasoning, using activation likelihood estimation meta-analysis. We also tested for a possible neural segregation as function of the perspective used during moral reasoning i.e., first or third person perspectives. Results demonstrate the existence of a wide network of areas underpinning moral reasoning, including orbitofrontal cortex, insula, amygdala, anterior cingulate cortex as well as precuneus and posterior cingulate cortex. Within this network we found a neural segregation as a function of the personal perspective, with 1PP eliciting higher activation in the bilateral insula and superior temporal gyrus as well as in the anterior cingulate cortex, lingual and fusiform gyri, middle temporal gyrus and precentral gyrus in the left hemisphere, and 3PP eliciting higher activation in the bilateral amygdala, the posterior cingulate cortex, insula and supramarginal gyrus in the left hemisphere as well as the medial and ventromedial prefrontal cortex in the right hemisphere. These results shed some more light on the contribution of these areas to moral reasoning, strongly supporting a functional specialization as a function of the perspective used during moral reasoning.




Similar content being viewed by others
References
Agerström, J., Björklund, F., & Carlsson, R. (2013). Look at yourself! Visual perspective influences moral judgment by level of mental construal. Social Psychology, 44(1), 42–46. doi:10.1027/1864-9335/a000100.
Allison, T., Puce, A., & McCarty, G. (2000). Social perception from visual cues: role of the STS region. Trends in Cognitive Sciences, 4, 267–278. doi:10.1016/S1364-6613(00)01501-1.
Anderson, S. W., Bechara, A., Damasio, H., Tranel, D., & Damasio, A. R. (1999). Impairment of social and moral behavior related to early damage in human prefrontal cortex. Nature Neuroscience, 1032–1037. doi:10.1038/14833.
Avram, M., Gutyrchik, E., Bao, Y., Pöppel, E., Reiser, M., & Blautzik, J. (2013). Neurofunctional correlates of esthetic and moral judgments. Neuroscience Letters, 534(1), 128–132. doi:10.1016/j.neulet.2012.11.053.
Avram, M., Hennig-Fast, K., Bao, Y., Poppel, E., Reiser, M., Blautzik, J., ... Gutyrchik, E. (2014). Neural correlates of moral judgments in first- and third-person perspectives: implications for neuroethics and beyond. BMC Neuroscience, 15, 39. doi:10.1186/1471-2202-15-39.
Bahnemann, M., Dziobek, I., Prehn, K., Wolf, I., & Heekeren, H. R. (2009). Sociotopy in the temporoparietal cortex: common versus distinct processes. Social Cognitive and Affective Neuroscience, 5(1), 48–58. doi:10.1093/scan/nsp045.
Bechara, A., & Damasio, A. R. (2005). The somatic marker hypothesis: a neural theory of economic decision. Games and Economic Behaviour, 52, 336–372.
Berthoz, S., Grèzes, J., Armony, J. L., Passingham, R. E., & Dolan, R. J. (2006). Affective response to one’s own moral violations. NeuroImage, 31(2), 945–950. doi:10.1016/j.neuroimage.2005.12.039.
Buckholtz, J. W., Asplund, C. L., Dux, P. E., Zald, D. H., Gore, J. C., Jones, O. D., & Marois, R. (2008). The neural correlates of third-party punishment. Neuron, 60(5), 930–940. doi:10.1016/j.neuron.2008.10.016.
Bzdok, D., Schilbach, L., Vogeley, K., Schneider, K., Laird, A. R., Langner, R., & Eickhoff, S. B. (2012). Parsing the neural correlates of moral cognition: ALE meta-analysis on morality, theory of mind, and empathy. Brain Structure & Function, 217(4), 783–796.
Cáceda, R., James, G. A., Ely, T. D., Snarey, J., & Kilts, C. D. (2011). Mode of effective connectivity within a putative neural network differentiates moral cognitions related to care and justice ethics. PloS One, 6(2), e14730. doi:10.1371/journal.pone.0014730.
Cavanna, A. E., & Trimble, M. R. (2006). The precuneus: a review of its functional anatomy and behavioural correlates. Brain, 129, 564–583.
Chiong, W., Wilson, S. M., D’Esposito, M., Kayser, A. S., Grossman, S. N., Poorzand, P., Seeley, W. W., Miller, B. L., & Rankin, K. P. (2013). The salience network causally influences default mode network activity during moral reasoning. Brain, 136(6), 1929–1941. doi:10.1093/brain/awt066.
Ciaramelli, E., Braghittoni, D., & Di Pellegrino, G. (2012). It is the outcome that counts! Damage to the ventromedial prefrontal cortex disrupts the integration of outcome and belief information for moral judgment. Journal of the International Neuropsychological Society, 18, 962–971.
Cikara, M., Farnsworth, R. A., Harris, L. T., & Fiske, S. T. (2010). On the wrong side of the trolley track: neural correlates of relative social valuation. Social Cognitive and Affective Neuroscience, 5(4), 404–413. doi:10.1093/scan/nsq011.
Cushman, F., Murray, D., Gordon-mckeon, S., Wharton, S., & Greene, J. D. (2012). Judgment before principle: engagement of the frontoparietal control network in condemning harms of omission. Social Cognitive and Affective Neuroscience, 7(8), 888–895. doi:10.1093/scan/nsr072.
Damasio, H., Grabowski, T., Frank, R., Galaburda, A. M., & Damasio, A. R. (1994). The return of Phineas gage: clues about the brain from the skull of a famous patient. Science, 264, 1102–1105.
Eickhoff, S. B., Laird, A. R., Grefkes, C., Wang, L. E., Zilles, K., & Fox, P. T. (2009). Coordinate-based activation likelihood estimation meta-analysis of neuroimaging data: a random-effects approach based on empirical estimates of spatial uncertainty. Human Brain Mapping, 30, 2907–2926.
Finger, E. C., Marsh, A. A., Kamel, N., Mitchell, D. G. V., & Blair, J. R. (2006). Caught in the act: the impact of audience on the neural response to morally and socially inappropriate behavior. NeuroImage, 33(1), 414–421.
Fox, P. T., Lancaster, J. L., Laird, A. R., & Eickhoff, S. B. (2014). Meta-analysis in human neuroimaging: computational modeling of large-scale databases. Annual Review of Neuroscience, 37, 409–434.
Fumagalli, M., & Priori, A. (2012). Functional and clinical neuroanatomy of morality. Brain, 135(Pt 7), 2006–2021. doi:10.1093/brain/awr334.
Greene, J. D. (2009). Dual-process morality and the personal/impersonal distinction: a reply to McGuire, Langdon, Coltheart and Mackenzie. Journal of Experimental Social Psychology, 45, 581–584.
Greene, J. (2013). Moral tribes: Emotion, reason, and the gap between us and them. New York: The Penguin Press, HC.
Greene, J., & Haidt, J. (2002). How (and where) does moral judgment work? Trends in Cognitive Sciences, 6(12), 517–523.
Greene, J. D., & Paxton, J. M. (2010). Correction for Greene et al., patterns of neural activity associated with honest and dishonest moral decisions. Proceedings of the National Academy of Sciences, 107(9), 4486–4486. doi:10.1073/pnas.1000505107.
Greene, J. D., Sommerville, R. B., Nystrom, L. E., Darley, J. M., & Cohen, J. D. (2001). An fMRI investigation of emotional engagement in moral judgment. Science (New York, N.Y.), 293(5537), 2105–2108. doi:10.1126/science.1062872.
Greene, J. D., Nystrom, L. E., Engell, A. D., Darley, J. M., & Cohen, J. D. (2004). The neural bases of cognitive conflict and control in moral judgment. Neuron, 44(2), 389–400.
Gusnard, D. A., & Raichle, M. E. (2001). Searching for a baseline: functional imaging and the resting human brain. Nature Reviews. Neuroscience, 2, 685–694.
Han, H., Glover, G. H., & Jeong, C. (2014). Cultural influences on the neural correlate of moral decision making processes. Behavioural Brain Research, 259, 215–228. doi:10.1016/j.bbr.2013.11.012.
Harada, T., Itakura, S., Xu, F., Lee, K., Nakashita, S., Saito, D. N., & Sadato, N. (2009). Neural correlates of the judgment of lying: a functional magnetic resonance imaging study. Neuroscience Research, 63(1), 24–34. doi:10.1016/j.neures.2008.09.010.
Harenski, C. L., Harenski, K. A., Shane, M. S., & Kiehl, K. A. (2012). Neural development of mentalizing in moral judgment from adolescence to adulthood. Developmental Cognitive Neuroscience, 2(1), 162–173. doi:10.1016/j.dcn.2011.09.002.
Hayashi, A., Abe, N., Fujii, T., Ito, A., Ueno, A., Koseki, Y., & Mori, E. (2014). Dissociable neural systems for moral judgment of anti- and pro-social lying. Brain Research, 1556, 46–56. doi:10.1016/j.brainres.2014.02.011.
Heekeren, H. R., Wartenburger, C. A. I., Schmidt, H., Schwintowski, H., & Villringer, A. (2003). An fMRI study of simple ethical decision- making. NeuroReport, 14(9), 1215–1219.
Heekeren, H. R., Wartenburger, I., Schmidt, H., Prehn, K., Schwintowski, H. P., & Villringer, A. (2005). Influence of bodily harm on neural correlates of semantic and moral decision-making. NeuroImage, 24(3), 887–897. doi:10.1016/j.neuroimage.2004.09.026.
Jackson, P. L., Meltzoff, A. N., & Decety, J. (2005). How do we perceive the pain of others? A window into the neural processes involved in empathy. NeuroImage, 24, 771–779.
Jones, E. E., & Nisbett, R. E. (1971). The actor and the observer: Divergent perceptions of the causes of behavior. New York: General Learning Press.
Kagan, J. (1984). The nature of the child. New York: Basic Books.
Kahane, G., Wiech, K., Shackel, N., Farias, M., Savulescu, J., & Tracey, I. (2012). The neural basis of intuitive and counterintuitive moral judgment. Social Cognitive and Affective Neuroscience, 7(4), 393–402. doi:10.1093/scan/nsr005.
Kelley, W. M., Macrae, C. N., Wyland, C. L., Caglar, S., Inati, S., & Heatherton, T. F. (2002). Finding the self? An event-related fMRI study. Journal of Cognitive Neuroscience, 14, 785–794.
Kochanska, G., Aksan, N., & Koenig, A. L. (1995). A longitudinal study of the roots of preschoolers’ conscience: committed compliance and emerging internalization. Child Development, 66, 1752–1759.
Koenigs, M., Young, L., Adolphs, R., Tranel, D., Cushman, F., Hauser, M., & Damasio, A. (2007). Damage to the prefrontal cortex increases utilitarian moral judgments. Nature, 446, 908–911.
Kohlberg, L. (1964). Development of moral character and moral ideology. In M. L. Hoffman, & L. W. Hoffman (Eds.), Review of child development research. New York: Russell Sage Foundation.
Kohlberg, L., Levine, C., & Hewer, A. (1983). Moral stages: A current formulation and a response to critics. Basel: Karger.
Libby, L. K., Shaeffer, E. M., Eibach, R. P., & Slemmer, J. A. (2007). Picture yourself at the polls:visualperspective inmental imagery affects self-perception and behavior. Psychological Science, 18, 199–203. doi:10.1111/j.1467-9280.2007.01872.x.
Majdandžić, J., Bauer, H., Windischberger, C., Moser, E., Engl, E., & Lamm, C. (2012). The human factor: behavioral and neural correlates of humanized perception in moral decision making. PloS One, 7(10), e47698. doi:10.1371/journal.pone.0047698.
Manfrinati, A., Lotto, L., Sarlo, M., Palomba, D., & Rumiati, R. (2013). Moral dilemmas and moral principles: when emotion and cognition unite. Cognition and Emotion, 27, 1276–1291.
Moll, J., de Oliveira-Souza, R., Bramati, I. E., & Grafman, J. (2002). Functional networks in emotional moral and nonmoral social judgments. NeuroImage, 16(3 Pt 1), 696–703. doi:10.1006/nimg.2002.1118.
Moll, J., Zahn, R., de Oliveira-Souza, R., Krueger, F., & Grafman, J. (2005). Opinion: the neural basis of human moral cognition. Nature Reviews. Neuroscience, 6, 799–809. doi:10.1038/nrn1768.
Moll, J., De Oliveira-Souza, R., & Zahn, R. (2008a). The neural basis of moral cognition: sentiments, concepts, and values. Annals of the New York Academy of Sciences, 1124, 161–180. doi:10.1196/annals.1440.005.
Moll, J., Oliveira-Souza, R., Zahn, R., & Grafman, J. (2008b). The cognitive neuroscience of moral emotions. In Sinnott-Armstrong (Ed.), Moral psychology (vol. 3, pp. 1–17). Cambridge: MIT Press.
Nadelhoffer, T., & Feltz, A. (2008). The actor–observer bias and moral intuitions: adding fuel to sinnott-armstrong’s fire. Neuroethics, 1(2), 133–144.
Nakao, T., Ohira, H., & Northoff, G. (2012). Distinction between externally vs. internally guided decision-making: operational differences, meta-analytical comparisons and their theoretical implications. Frontiers in Neuroscience, 6(31). doi:10.3389/fnins.2012.00031.
Parkinson, C., Sinnott-Armstrong, W., Koralus, P. E., Mendelovici, A., McGeer, V., & Wheatley, T. (2011). Is morality unified? Evidence that distinct neural systems underlie moral judgments of harm, dishonesty, and disgust. Journal of Cognitive Neuroscience, 23(10), 3162–3180.
Pascual, L., Gallardo-Pujol, D., & Rodrigues, P. (2013). How does morality work in the brain? A functional and structural perspective of moral behavior. Frontiers in Integrative Neuroscience, 7(65). doi:10.3389/fnint.2013.00065.
Piaget, J. (1932). The moral judgment of the child. Brace Jovanovich: Harcourt.
Piaget, J. (1965). The moral judgment of the child. London: Routledge and Kegan Paul.
Prehn, K., Wartenburger, I., Mériau, K., Scheibe, C., Goodenough, O. R., Villringer, A., & Heekeren, H. R. (2008). Individual differences in moral judgment competence influence neural correlates of socio-normative judgments. Social Cognitive and Affective Neuroscience, 3(1), 33–46. doi:10.1093/scan/nsm037.
Pujol, J., Batalla, I., Contreras-Rodríguez, O., Harrison, B. J., Pera, V., Hernández-Ribas, R., Real, E., Bosa, L., Soriano-Mas, C., Deus, J., López-Solà, M., Pifarré, J., Menchón, J. M., & Cardoner, N. (2012). Breakdown in the brain network subserving moral judgment in criminal psychopathy. Social Cognitive and Affective Neuroscience, 7(8), 917–923. doi:10.1093/scan/nsr075.
Reniers, R. L. E. P., Corcoran, R., Völlm, B. A., Mashru, A., Howard, R., & Liddle, P. F. (2012). Moral decision-making, ToM, empathy and the default mode network. Biological Psychology, 90(3), 202–210. doi:10.1016/j.biopsycho.2012.03.009.
Robertson, D., Snarey, J., Ousley, O., Harenski, K., Bowman, F. D., Gilkey, R., & Kilts, C. (2007). The neural processing of moral sensitivity to issues of justice and care. Neuropsychologia, 45, 755–766. doi:10.1016/j.neuropsychologia.2006.08.014.
Royzman, E., & Baron, J. (2002). The preference of indirect harm. Social Justice Research, 15(2), 165–184.
Ruby, P., & Decety, J. (2001). Effect of subjective perspective taking during simulation of action: a PET investigation of agency. Nature Neuroscience, 4(5), 546–550. doi:10.1038/87510.
Schaich Borg, J., Hynes, C., Van Horn, J., Grafton, S., & Sinnott-Armstrong, W. (2006). Consequences, action, and intention as factors in moral judgments: an FMRI investigation. Journal of Cognitive Neuroscience, 18(5), 803–817.
Schaich Borg, J., Lieberman, D., & Kiehl, K. A. (2008). Infection, incest, and iniquity: investigating the neural correlates of disgust and morality. Journal of Cognitive Neuroscience, 20(9), 1529–1546.
Schleim, S., Spranger, T. M., Erk, S., & Walter, H. (2011). From moral to legal judgment: the influence of normative context in lawyers and other academics. Social Cognitive and Affective Neuroscience, 6(1), 48–57. doi:10.1093/scan/nsq010.
Sevinc, G., & Spreng, R. N. (2014). Contextual and perceptual brain processes underlying moral cognition: a quantitative meta-analysis of moral reasoning and moral emotions. PloS One, 9(2), e87427. doi:10.1371/journal.pone.0087427.
Shaver, K. G. (Ed.) (1985). The attribution of blame: Causality, responsibility, and blameworthiness. New York: Springer-Verlag.
Shenhav, A., & Greene, J. D. (2010). Moral judgments recruit domain-general valuation mechanisms to integrate representations of probability and magnitude. Neuron, 67(4), 667–677. doi:10.1016/j.neuron.2010.07.020.
Shenhav, A., & Greene, J. D. (2014). Integrative moral judgment: dissociating the roles of the amygdala and ventromedial prefrontal cortex. The Journal of Neuroscience: The Official Journal of the Society for Neuroscience, 34(13), 4741–4749. doi:10.1523/JNEUROSCI.3390-13.2014.
Sokol, B. W., Chandler, M. J., & Jones, C. (2004). From mechanical to autonomous agency: the relationship between children’s moral judgments and their developing theories of mind. New Directions for Child and Adolescent Development, 103, 19–36.
Sommer, M., Rothmayr, C., Döhnel, K., Meinhardt, J., Schwerdtner, J., Sodian, B., & Hajak, G. (2010). How should I decide? The neural correlates of everyday moral reasoning. Neuropsychologia, 48(7), 2018–2026. doi:10.1016/j.neuropsychologia.2010.03.023.
Takahashi, H., Yahata, N., Matsuda, T., Asai, K., & Okubo, Y. (2004). Brain activation associated with evaluative processes of guilt and embarassment: an fMRI study. NeuroImage, 23, 967–974.
Turiel, E., Killen, M., & Helwig, C. (1987). Morality: Its structure, functions, and vagaries. In J. Kagan, & S. Lamb (Eds.), The emergence of morality in young children (pp. 155–243). Chicago: University of Chicago Press.
Vogeley, K., & Fink, G. R. (2003). Neural correlates of the first-person-perspective. Trends in Cognitive Sciences, 7(1), 38–42.
Wicker, B., Keysers, C., Plailly, J., Royet, J. P., Gallese, V., & Rizzolatti, G. (2003). Both of us disgusted in my insula: the common neural basis of seeing and feeling disgust. Neuron, 40, 655–664. doi:10.1016/S0896-6273(03)00679-2.
Yeo, B. T., Krienen, F. M., Sepulcre, J., Sabuncu, M. R., Lashkari, D., Hollinshead, M., Roffman, J. L., Smoller, J. W., Zöllei, L., Polimeni, J. R., Fischl, B., Liu, H., & Buckner, R. L. (2011). The organization of the human cerebral cortex estimated by intrinsic functional connectivity. Journal of Neurophysiology, 106(3), 1125–1165. doi:10.1152/jn.00338.2011.
Yoder, K. J., & Decety, J. (2014). The good, the bad, and the just: justice sensitivity predicts neural response during moral evaluation of actions performed by others. The Journal of Neuroscience: The Official Journal of the Society for Neuroscience, 34(12), 4161–4166. doi:10.1523/JNEUROSCI.4648-13.2014.
Young, L., & Saxe, R. (2008). The neural basis of belief encoding and integration in moral judgment. NeuroImage, 40, 1912–1920. doi:10.1016/j.neuroimage.2008.01.057.
Young, L., Camprodon, J. A., Hauser, M., Pascual-Leone, A., & Saxe, R. (2010). Disruption of the right temporoparietal junction with transcranial magnetic stimulation reduces the role of beliefs in moral judgments. Pnas, 107(15), 6753–6758. doi:10.1073/pnas.0914826107.
Zahn, R., Moll, J., Paiva, M., Garrido, G., Krueger, F., Huey, E. D., et al. (2009). The neural basis of human social values: evidence from functional MRI. Cerebral Cortex, 19(2), 276–283.
Author information
Authors and Affiliations
Corresponding author
Ethics declarations
Human and animal rights and informed consent
No animal or human studies were carried out by the authors for this article and data from previous studies were collected using PubMed database.
Conflict of interest
Maddalena Boccia, Claudia Dacquino, Laura Piccardi, Pierluigi Cordellieri, Cecilia Guariglia, Fabio Ferlazzo, Stefano Ferracuti and Anna Maria Giannini declare that they have no conflict of interest.
Rights and permissions
About this article
Cite this article
Boccia, M., Dacquino, C., Piccardi, L. et al. Neural foundation of human moral reasoning: an ALE meta-analysis about the role of personal perspective. Brain Imaging and Behavior 11, 278–292 (2017). https://doi.org/10.1007/s11682-016-9505-x
Published:
Issue date:
DOI: https://doi.org/10.1007/s11682-016-9505-x